欢迎来到安徽医科大学附属安庆第一人民医院
微信公众号微信公众号
满意度调查满意度调查
微信小程序微信小程序
急诊电话

0556-5860120
0556-5866120

医院新闻 您的位置 : 首页 > 工作动态 > 医院新闻

援非医疗日志

发布日期:2022-07-20     来源:宣传     作者:中国红十字会总会第四批援布医疗队队员、安医大附属安庆第一人民医院心内科医生 方元实     阅读次数:2537次

  作为受国家卫健委委托、中国红十字会总会派遣的第四批援布基纳法索医疗队队员,我于3月16日晚从国内出发,远赴非洲执行援外医疗任务。

  布基纳法索是西非的一个内陆国家。这里是世界上最贫穷的国家之一,卫生医疗条件差,很多人生病了都没办法治疗。全年半年旱季,半年雨季。旱季时一滴雨也不下,屋外温度达到40度以上,街道上灰蒙蒙,基础建设比较落后,经常有沙尘暴,漫天黄沙,眼睛都睁不开。布基纳法索的生活和工作环境是艰苦的,我们要克服蚊虫叮咬,提防新冠、艾滋病、疟疾、结核病等传染病的威胁,偶尔会断电、停水;有时还会听闻周边的恐怖袭击消息,心理承受着压力。 

  我的主要工作是在唐加多戈医院心内科参加日常的病房、门诊工作。唐加多戈医院位于首都瓦加杜古,是该国目前基础设施、医疗条件最好的国家级医院,心脏内科没有独立病区,目前和呼吸内科、消化内科、神经内科、内分泌科同在一个病区。布基纳法索人口约2500万,当地公民高发心脏病、肾脏疾病、感染性疾病、肺病等疾病。其中心脏病以先天性心脏病、瓣膜性心脏病、冠心病为主,发病率约各为1%左右,该国约有5000名心脏疾病患者,每年因心脏疾病死亡的人数占所有死亡人数的14%;冠心病目前最主流的诊断和治疗方式就是冠脉造影和支架治疗。介入治疗是一种经由血管进行的微创治疗方法,不需要手术开胸。唐加多戈医院2020年底新安装GE介入设备一台,因介入器械的短缺,迟迟不能常规开展冠脉造影及介入治疗,通过积极和当地科室领导沟通,拟于近期采购相关器械。

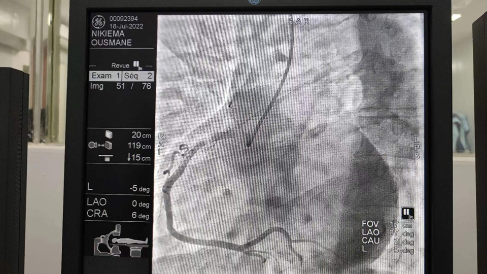
  7月15日,我在门诊接诊了一名50岁的男性患者,因“反复胸闷3月”来医院就诊,患者有糖尿病和肺部疾病,当地Hippolyte SOME医生讨论病情后,考虑患者为冠心病,决定为患者施行冠状动脉造影术。 

  7月18日上午9点,我们为患者施行冠状动脉造影术检查,术中造影显示:患者心脏右冠管壁不光滑,左冠脉正常。经分析研判后,诊断为“冠状动脉粥样硬化”。9:40左右,手术顺利完成。

  不同国籍、不同肤色的医护人员,团结一心,共同完成了这例非洲的心脏手术,得到了当地医生同行的好评。当天共完成两台冠脉造影手术。



  平时除了日常工作,我还积极参加其他公益活动,送医送药到布基纳法索最基层,6月25日上午,我和中国红十字会第四批援布基纳法索医疗队其他队员一起组织了义诊活动。

  此外,我还和当地其他社会慈善组织一道,去瓦加杜古PAZANNI难民营看望、慰问难民。到当地福利儿童院进行义诊,看望孤儿,捐赠物品。

  为落实好党和政府对海外中国公民的关心,切实帮助在布基纳法索的中国公民做好疫情防护,我参加了唐家多戈医院举行的“春苗行动”国产疫苗接种活动。

  

  在接下来的一年里,我将继续认真完成援外任务,作为一名医生,向非洲人民展示中国医务人员敬业、勤奋和好学的良好形象。作为一名党员,我将持之以恒,继续努力为当地人民提供良好的医疗服务,使更多布基纳法索人民恢复健康,为中非友谊作出自己应有的贡献。 

安徽医科大学附属安庆第一人民医院党政办电话:0556-5865106医务科电话:0556-5865076
龙山院区 孝肃路院区 华中路院区
地址:安庆市宜秀区宜秀大道6号 地址:安庆市迎江区孝肃路42号 地址:安庆市迎江区华中路187号
行政总值班:18956918806(受理时间:中午12:00-下午14:30 晚17:30-次日早8:00) 行政总值班:18956918816(受理时间:中午12:00-下午14:30 晚17:30-次日早8:00) 行政总值班:18956918809(受理时间:中午12:00-下午14:30 晚17:30-次日早8:00)

医德医风投诉    行风建设工作办公室:5865011     纪检监察室电话:5865190     Email:aq5865190@163.com
微信公众号
网站故障联系电话:(0556)5561619     皖公网安备 34080202000242号 皖ICP备06011484号