欢迎来到安徽医科大学附属安庆第一人民医院
微信公众号微信公众号
满意度调查满意度调查
微信小程序微信小程序
急诊电话

0556-5860120
0556-5866120

医院新闻 您的位置 : 首页 > 工作动态 > 医院新闻

一碗螺蛳粉 险些把命丢

发布日期:2022-06-21     来源:宣传科     作者:卢方     阅读次数:2548次

——安医大附属安庆第一人民医院耳鼻咽喉头颈外科成功救治一位巨大食管异物患者

    5月27日,市民陈先生因异物卡喉到安徽医科大学附属安庆第一人民医院龙山院区耳鼻咽喉头颈外科就诊。

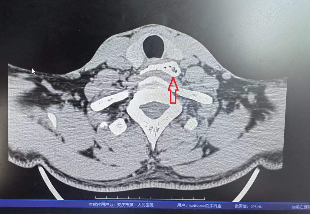
    当天,陈先生的母亲为其煮了一碗螺蛳粉,因不知晓这碗螺蛳粉是用骨头汤煮的,粗心的陈先生误吞下一块“巨型”猪骨头。这块猪骨呈长方形,长约4.1cm,宽约3.8 cm,厚度约3mm,四角尖锐,正好卡在食管入口的下方。入院时,患者十分痛苦,说话困难,连口水都无法吞咽,并且“巨型”骨尖锐锋利的边角随时都有穿通食管的可能,一旦造成食管穿孔并发感染,陈先生将会面临生命危险。

食管冠状位CT影像

食管轴位CT影像(箭头所指为食管异物影像)

    因异物巨大且形状异常,经过评估与尝试发现无法使用食管镜取出,需要进行手术。耳鼻咽喉头颈外科医疗团队在经过充分的术前评估,并将术中可能出现的风险告知患者及家属后,在安徽医科大学附属第一医院耳鼻咽喉头颈外科高潮兵教授的指导下,采用“全麻食管镜检查+颈侧切开食管异物取出术”,成功将这枚“巨大”食管异物取出。术后经过精心的治疗与护理,患者成功闯过术后感染关,恢复良好,于6月21日康复出院。


高潮兵教授指导下行颈侧切开食管异物取出术


(术中取出的食管内巨大异物

    龙山院区耳鼻咽喉头颈外科自2021年11月开科以来,依托安徽医科大学优质医疗资源,已经成功开展下咽癌、喉癌、甲状腺肿瘤及腮腺恶性肿瘤等头颈部恶性肿瘤手术,以及人工听骨植入听力重建术、听神经瘤、人工耳蜗植入术等高难度手术,成功救治多例颈部脓肿、食管异物伴穿孔、车祸、自刎造成的头颈部大面积创伤伴失血性休克等急危重症病例,标志着安医大附属安庆第一人民医院耳鼻咽喉头颈外科医疗及护理水平迈上了新的台阶。

安徽医科大学附属安庆第一人民医院党政办电话:0556-5865106医务科电话:0556-5865076
龙山院区 孝肃路院区 华中路院区
地址:安庆市宜秀区宜秀大道6号 地址:安庆市迎江区孝肃路42号 地址:安庆市迎江区华中路187号
行政总值班:18956918806(受理时间:中午12:00-下午14:30 晚17:30-次日早8:00) 行政总值班:18956918816(受理时间:中午12:00-下午14:30 晚17:30-次日早8:00) 行政总值班:18956918809(受理时间:中午12:00-下午14:30 晚17:30-次日早8:00)

医德医风投诉    行风建设工作办公室:5865011     纪检监察室电话:5865190     Email:aq5865190@163.com
微信公众号
网站故障联系电话:(0556)5561619     皖公网安备 34080202000242号 皖ICP备06011484号