欢迎来到安徽医科大学附属安庆第一人民医院
微信公众号微信公众号
满意度调查满意度调查
微信小程序微信小程序
急诊电话

0556-5860120
0556-5866120

医院新闻 您的位置 : 首页 > 工作动态 > 医院新闻

安医大附属安庆一院呼吸内科成功开展医院首例主气管重度狭窄球囊扩张术并冷冻消融治疗术

发布日期:2021-03-12     来源:新闻办     作者:呼吸内科 叶鹏 李乾兵/撰稿 余琳芳/编辑     阅读次数:7926次

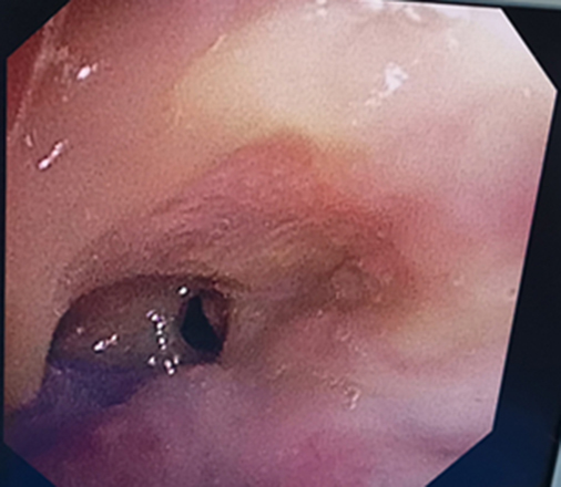
  近日,安徽医科大学附属安庆第一人民医院呼吸内科在麻醉科全力配合下,成功开展首例喉罩无痛支气管镜下主气管狭窄球囊扩张术并气管增生组织冷冻消融术。 
  患者因蛛网膜下腔出血行气管切开术,术后气管切开缝合处疤痕增生明显,气管重度狭窄,为有效通气直径约8mm,平静状态下仍呼吸困难。科主任童亚玲、副主任李乾兵组织科室讨论,认为该患者为良性狭窄,植入气管支架后会再次刺激引起疤痕增生,加重气道狭窄,甚至会引起气道闭塞窒息而危及生命,采取球囊扩张术及气管增生组织冷冻消融术对于患者应是最佳选择。

  与患者家属充分沟通后,由李乾兵副主任医师主刀,徐裕丰副主任医师、叶鹏、余艳主治医师协助,经喉罩全麻,在支气管镜下运用球囊扩张导管、冷冻治疗仪对狭窄主气管行球囊扩张术及气管增生组织冷冻消融术,操作过程顺利,无明显出血等并发症。术后患者有效通气气道明显增大,气管扩张直径为16mm,呼吸困难症状消失,能够下床活动,生活质量明显改善。

治疗前

治疗后

  自2018年起,我院呼吸内科在喉罩无痛技术下相继开展了气管镜下气管内巨大肿瘤电圈套切除、气管内肿瘤电圈套切除并冷冻消融治疗术等多项气管内镜下4级介入治疗技术。此次经支气管镜主气管狭窄球囊扩张术及气管增生组织冷冻消融术的成功开展,标志着医院支气管镜下的介入治疗技术再上新台阶。
安徽医科大学附属安庆第一人民医院党政办电话:0556-5865106医务科电话:0556-5865076
龙山院区 孝肃路院区 华中路院区
地址:安庆市宜秀区宜秀大道6号 地址:安庆市迎江区孝肃路42号 地址:安庆市迎江区华中路187号
行政总值班:18956918806(受理时间:中午12:00-下午14:30 晚17:30-次日早8:00) 行政总值班:18956918816(受理时间:中午12:00-下午14:30 晚17:30-次日早8:00) 行政总值班:18956918809(受理时间:中午12:00-下午14:30 晚17:30-次日早8:00)

医德医风投诉    行风建设工作办公室:5865011     纪检监察室电话:5865190     Email:aq5865190@163.com
微信公众号
网站故障联系电话:(0556)5561619     皖公网安备 34080202000242号 皖ICP备06011484号