发布日期:2025-08-12 来源: 作者: 阅读次数:2812次
8月4日,安徽医科大学附属安庆第一人民医院心血管内科彭杰成主任团队在安徽省立医院徐健主任团队带教指导下,应用国产创新器械——经导管二尖瓣夹系统DragonFly™顺利救治一例复杂二尖瓣重度反流患者,在安庆市成功开展首台经导管二尖瓣缘对缘钳夹成形术(TEEP),为该地区患者带来微创且安全有效的医疗选择。

患者为68岁老年男性,因“反复胸闷半年,加重1周”入院治疗;心脏超声提示:二尖瓣后叶脱垂累及内交界,轻度肺动脉高压,主动脉瓣中度反流,三尖瓣轻度反流。食道超声评估:P3脱垂并腱索断裂连枷样改变,且累及内交界,反流主要来源于2区及3区。
经过医院心血管内科团队术前充分评估,患者存在P3脱垂累及交界、脱垂宽度大且瓣口面积大等复杂情况;而DragonFly™实施TEER术式展现出显著优势:仅通过9毫米的股静脉微小穿刺点即可完成治疗,无需开胸的微创特性大幅降低术中风险,同时为患者预后奠定了良好基础。征求患者及家属同意并完善术前检查和准备,决定为患者施行经导管二尖瓣缘对缘修复手术,即经导管二尖瓣钳夹成形术(TEEP)。
针对该患者3区瓣下腱索较多,且有断裂腱索收缩期甩向左房侧,容易发生腱索缠绕等手术难点,彭杰成主任团队与徐健主任团队在麻醉和超声团队紧密配合下,先于3区靠内交界置入一枚短宽(SW0609)夹,解决内交界脱垂,然后并排于3区植入第二枚长宽(XW0612)夹解决残余脱垂病变。为平衡瓣叶张力,选择打开瓣膜夹20°进行释放,释放后无残余脱垂,二尖瓣反流降至微量,肺静脉逆流消失,效果显著。整个手术过程历时2小时左右,术后第二日解除股静脉绷带,患者下床活动自如,心功能明显改善。
术前影像【交界联合彩色】
术中影像【于3区靠交界植入一枚短宽(SW0609)夹】
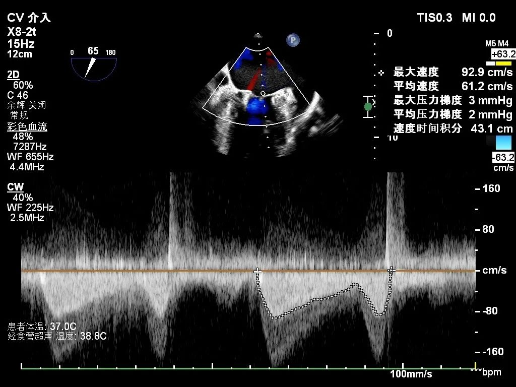
【术毕即刻超声】
“手术成功得益于DragonFly™的独特设计与性能优势,其创新的刻度化调节技术与独立捕获功能,实现了对病变瓣叶的精准定位与捕获。”彭杰成表示,“这不仅是前沿医疗技术的落地,是国产创新成果的临床转化,更是用科技守护患者生命健康的责任担当。”
随着人口老龄化持续攀升,心脏瓣膜疾病近年来已成为威胁中老年健康的重要隐患,其发病率在心血管疾病中紧随高血压与冠心病之后,严重影响患者生活质量与生存。彭杰成主任率领的结构性心脏病亚专科团队积极跟进学科学术发展前沿,不断拓展技术视野,该例复杂TEER技术的成功开展标志着心内科团队在瓣膜介入治疗领域已具备坚实的基础与精湛的技术水平。(心内科 胡思琪)
微信公众号